Lisa
Clubfoot, Limb Length Discrepancy Maryland Dr. Herzenberg
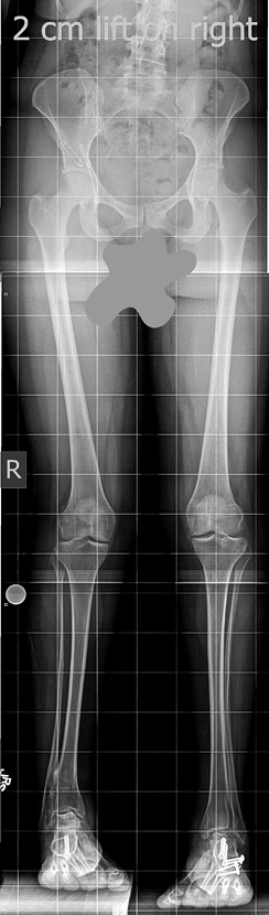
Lisa came to the International Center for Limb Lengthening (ICLL) having already had a dozen surgeries elsewhere to address her bilateral clubfeet. She went to several hospitals looking for help for her painful arthritic ankles and was often given the suggestion of having a total ankle fusion. She shares that she even wondered if she would possibly have to amputate her feet in the future. When Lisa was told it would be helpful to fix her limb length discrepancy before further addressing her feet, she was referred to the ICLL. Dr. Herzenberg recommended that she lengthen her shorter leg with the Precice internal lengthening system.
She shares, “Doctor Herzenberg did an excellent job of working with me for about two years or more. I spent the better part of a year visiting his office, and he… prepared me for all the stages of surgery. When it came time to schedule it I was directed to schedule a room at the Hackerman-Patz House so I could be across the street from the hospital during the difficult healing time and to easily attend PT [physical therapy]. I followed instructions in [the ICLL’s] limb lengthening booklets and prepared for so many aspects of this process. The staff paid diligent attention to me, and Renee Hunter always answered my emails replying to all my questions.”
“Once I knew I could legitimately make myself even, all I could feel was excitement. I would tell anybody looking into this to prepare for a longer recovery than originally planned, especially if you are a woman beyond your twenties.” In addition to keeping expectations for bone healing rates flexible, she suggests patients “over-plan” all the logistics and use high quality supplements to support bone and tissue growth. “Plan for the growth pain and the hard work of physical therapy,” she warns, “but be excited at the prospect of standing even. I was finally even after 20 years of asymmetry.”
Lisa adds, “The entire process has been difficult, probably because I had arthritis in both ankles and they increased significantly in pain post the pin surgery…. Regardless, there has been vast improvement in the way I walk and just the way I stand. It has been an arduous learning process, because all my functioning had to respond to the realignment of my body. But a year and a half after surgery, I have seen the benefits, have come a long ways, and expect to go further.”
“Good has already come of it, because I now have the AFO [Ankle Foot Orthotics], Fabtech Braces, which protect my arthritic ankles, but assist me to be more athletic. These orthotics are likely better because my legs are even…. In the long run, the limb lengthening accomplished what it was supposed to, and I am very glad I did it, and I know my hips are already thanking me. Someday as I decide what to do with my feet, I think it will be more successful because my legs are now even.”
While Dr. Herzenberg has retired from providing patient care, Dr. Philip McClure and Dr. Noman Siddiqui treat adults with clubfoot issues.






